Share your phone number with us, we'll call you!
Share your phone number with us, we'll call you!
Share your phone number with us, we'll call you!
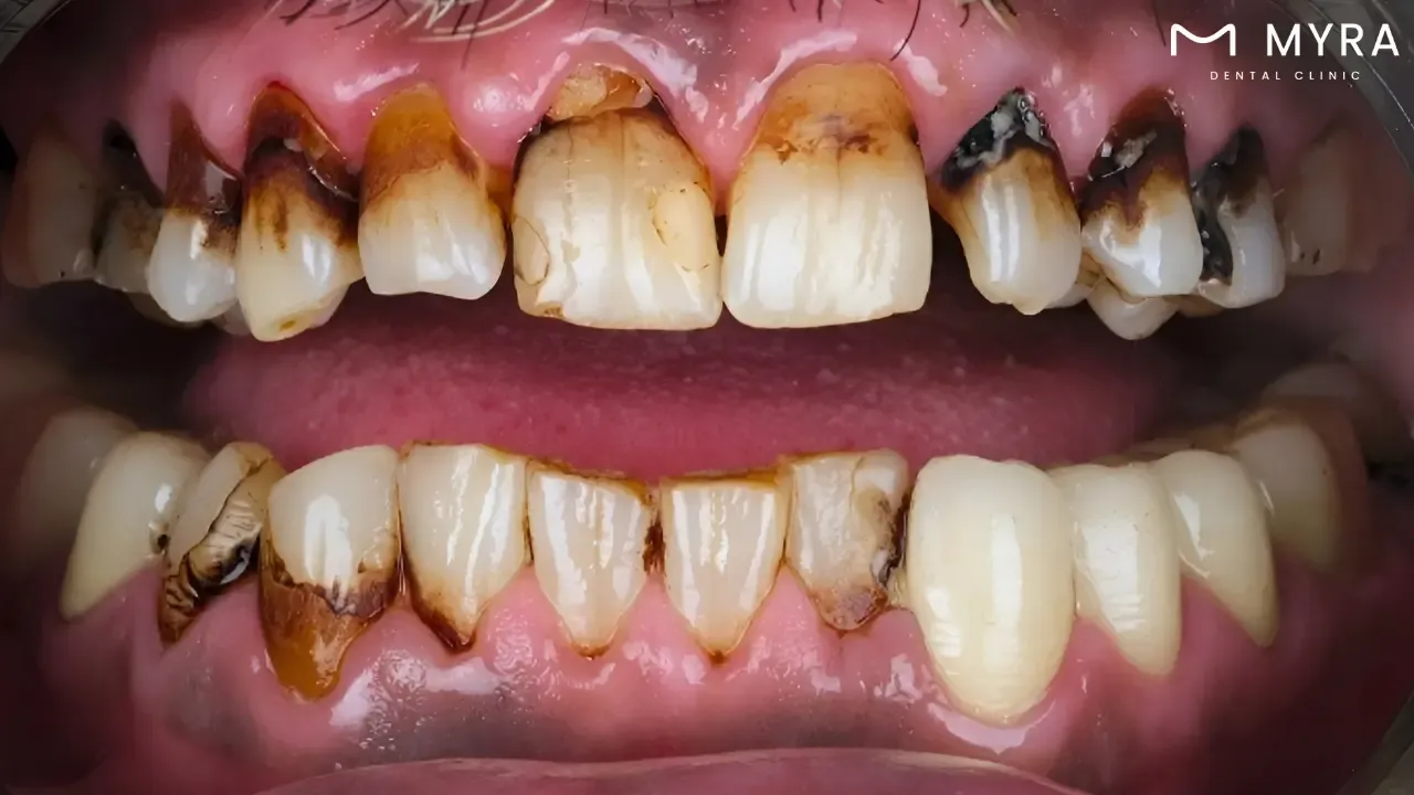
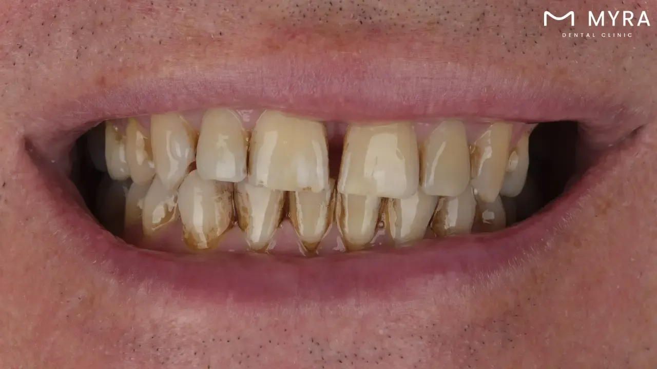
Stained teeth impact one’s confidence and oral health. Understanding the symptoms, treatment options, causes, and related conditions is key to successful management and prevention. Staining of the teeth results from various factors, leading to discolouration that ranges from yellow to brown or even grey.
The common symptoms of tooth discolouration or stained teeth include visible changes in tooth colour. Teeth appear yellow, brown, white, grey, or even purple. Extrinsic stains, which occur on the surface of the teeth, cause the teeth to appear yellow or brown. Intrinsic stains, which develop below the tooth’s enamel, cause the teeth to appear grey or brown. Age-related stains combine extrinsic and intrinsic discolouration, leading to yellowing or dullness of the teeth over time. Specific causes lead to more distinct colour changes, such as white spots from fluorosis or black/grey stains from metal deposits.
Professional whitening is the most effective method, using lasers and concentrated bleaching products to whiten teeth in a single visit. At-home tooth whitening treatments, including over-the-counter products and professional kits with custom-fit trays and whitening gels, are less effective but more affordable. Veneers are an option for deep, intrinsic stains, providing a durable and natural-looking cover for discoloured teeth. Other treatments include dental bonding, crowns, and microabrasion. Routine dental cleanings prevent and manage extrinsic stains.
Foods and drinks such as coffee, tea, dark-coloured fizzy drinks, red wine, and dark fruits cause staining. Smoking and tobacco use are significant contributors to tooth discolouration. Poor dental hygiene leads to plaque buildup, causing teeth to appear discoloured. Medical treatments, such as certain medications for high blood pressure, chemotherapy, antihistamines, and some antipsychotic medications, cause tooth stains. Ageing, trauma, excessive fluoride, and genetic factors lead to intrinsic stains.
Similar conditions to stained teeth include dental conditions like enamel hypoplasia, where the enamel is underdeveloped and causes discoloured teeth. Dentinogenesis imperfecta is another condition causing teeth to appear blue-grey or yellow-brown due to abnormal dentin. The conditions lead to significant discolouration and require specialised dental treatments similar to the ones used for stained teeth.
Several studies have explored the causes and treatments of stained teeth. For example, "The Impact on Dental Staining Caused by Beverages in Combination with Chlorhexidine Digluconate" examined how common beverages combined with chlorhexidine contribute to dental staining using in vitro models.
Another study, "Tooth Discoloration and Staining: A Review of the Literature" by A. Watts and M. Addy, reviewed the literature on the mechanisms of tooth staining, focusing on mouth rinses. "Self Reported Tooth Discolorations Among Patients Seen at Dental Center University College Hospital Ibadan" analysed the prevalence and types of self-reported tooth discoloration, examining causes and treatment options.
Lastly, "Ex vivo Study of Molecular Changes of Stained Teeth Following Hydrogen Peroxide and Peroxymonosulfate Treatments" by P. Gomes, P.W. Bauermeister, S. Zuffa, A. Bauermeister, AMCR, HNZ, and HMR assessed the molecular changes in stained teeth after bleaching treatments, aiming to understand the impact on the molecular composition of teeth.

The types of Stained Teeth are listed below.

The symptoms of Stained Teeth are listed below.

The causes of Stained Teeth are listed below.

The treatments for Stained teeth are listed below.

Yes, stained teeth can be treated at home using pharmacy-brand whitening products and other treatments such as gels, whitening strips, and toothpaste. The whitening products are designed to remove surface discolouration if the staining is not too deep and the teeth are healthy. These at-home solutions are effective for minor stains and improve the tooth's visual appeal.
A dentist's clinic offers more effective whitening procedures than at home. Many consumers advocate professional whitening procedures dentists perform to achieve better and longer-lasting effects. Professional treatments include bespoke trays with a bleaching solution for at-home usage, in-office whitening procedures, and extensive instructions customised to their specific requirements.
Professional in-office procedures work more quickly and efficiently than at-home kits, with less risk of irritation or sensitivity. The outcomes of expert whitening treatments are more dramatic, providing a brighter and whiter smile that effectively counteracts the visible signs of daily habits like drinking coffee or tea.

The research about stained teeth focuses on causes, effects, and treatments. The research provides valuable evidence for dental professionals and researchers, helping to improve diagnosis, treatment, and patient education regarding tooth discolouration.
“The Impact on Dental Staining Caused by Beverages in Combination with Chlorhexidine Digluconate” was conducted in vitro to examine how common beverages combined with chlorhexidine digluconate contribute to dental staining. The research aimed to understand the staining potential and effects when these substances interact. The evidence gathered from the study provided valuable insights into the mechanisms of dental staining, helping to identify specific beverages that exacerbate staining when used in conjunction with chlorhexidine digluconate.
Tooth Discoloration and Staining: A Review of the Literature Research by A. Watts and M. Addy conducted a comprehensive literature review on tooth staining. The research focused on the mechanisms of staining from mouth rinses, aiming to help dental professionals diagnose and treat discoloured teeth more effectively. A thorough knowledge of the causes of tooth staining, as provided by the researchers through their literature review, is essential for the improvement of dental diagnostic and treatment methods. The review is an essential resource for dental professionals seeking to understand and mitigate the effects of tooth staining.
The Self-Reported Tooth Discolorations Among Patients Seen at Dental Center University College Hospital Ibadan is a retrospective study that analysed the prevalence and types of self-reported tooth discolouration among patients at the University College Hospital, Ibadan, between 2011 and 2014. The research examined the causes of discolouration, its impact on self-esteem, and the treatment options available to patients. The findings from the study highlighted the common causes of tooth discolouration in the studied population and the psychological effects on patients. It provided evidence on the effectiveness of various treatment options, helping to inform better clinical practices and patient care strategies.
Ex vivo Study of Molecular Changes of Stained Teeth Following Hydrogen Peroxide and Peroxymonosulfate Treatments was conducted by researchers P. Gomes, P.W. Bauermeister, S. Zuffa, A. Bauermeister, AMCR, HNZ, and HMR. The goal is to assess the molecular changes in stained teeth after bleaching treatments with hydrogen peroxide and peroxymonosulfate (MPS). The study aimed to understand the impact of these treatments on the molecular composition of teeth and the role of biofilm and staining. The researchers shed light on the efficacy and molecular-level alterations caused by these bleaching agents by developing a novel metabolomics approach for such analysis. The study is precious for developing advanced whitening treatments and improving the outcomes of cosmetic dentistry.
The difference between stained teeth and cavities is that stains are cosmetic issues impacting simply the appearance of teeth, but cavities are structural damage produced by dental decay that affects the health and integrity of teeth. Food, beverages, tobacco use, poor dental hygiene, and internal variables such as ageing, certain medications, or excessive fluoride exposure all contribute to stained teeth. Oral hygiene issues such as eating acidic or sugary foods and not getting enough fluoride allow bacteria in the mouth to produce acid, which tears away tooth enamel and causes cavities.
The causes and treatments for discoloured teeth and cavities vary greatly. Stained teeth are treatable at home with whitening toothpaste or over-the-counter whitening solutions. Professional stain treatments include in-office whitening and cosmetic upgrades such as tooth veneers. Cavities necessitate professional dental care to remove the decay and restore the tooth's structure. Cavity treatments include fillings to cure moderate decay, crowns to cover and protect more visible regions of damage, and root canals or extractions in severe situations where decay has reached the tooth's pulp.
Stained teeth and cavities have similarities in appearance and prevention. Stained teeth and cavities appear as discoloured markings on the teeth, which range from white to brown or black. Proper oral hygiene practices such as frequent brushing, flossing, and dental check-ups help avoid disorders. Certain dietary habits, such as eating acidic or dark-coloured meals and drinks, increase the likelihood of discoloured teeth and cavities. Early diagnosis of both diseases is difficult without a professional inspection. Regular dental checkups are essential. Early-stage cavities are sometimes confused for stains and vice versa, emphasising the significance of seeking professional dental treatment to effectively identify and treat these disorders.

Staining and cavities appear to be identical, but they are distinct dental problems with different origins, treatments, and impacts on mouth health. Stains are cosmetic concerns that are addressed with whitening treatments and makeovers. Tooth cavities harm the tooth structure, necessitating expert dental care intervention to prevent future deterioration and maintain oral health.